Ortodoncija Zujović
Specijalistička stomatološka ordinacija za ortodonciju Sanda Zujović, dr.med.dent.spec.ortodoncije
Pon, Sri 13-21 | Uto, Čet, Pet 7-15
ortodoncija.zujovic@gmail.com+385 1 3831 001
hello world!

Terapija fiksnim ortodontskim aparatima

Terapija fiksnim ortodontskim aparatom je način ispravljanja zuba korištenjem bravica i žičanih lukova. Primjenjuje se nježan pritisak na zube kako bi ih se premjestilo u ispravan položaj tokom vremena, što rezultira pravilnim zagrizom i estetski prihvatljivim osmijehom.

Terapija se obično prilagođava individualnim potrebama svakog pacijenta i može trajati od nekoliko mjeseci do nekoliko godina, ovisno o težini slučaja. Bravice mogu biti metalne ili estetske. Kontrole su od 4 do 8 tjedana.

Fiksna ortodonska terapija
Fiksna ortodonska terapija
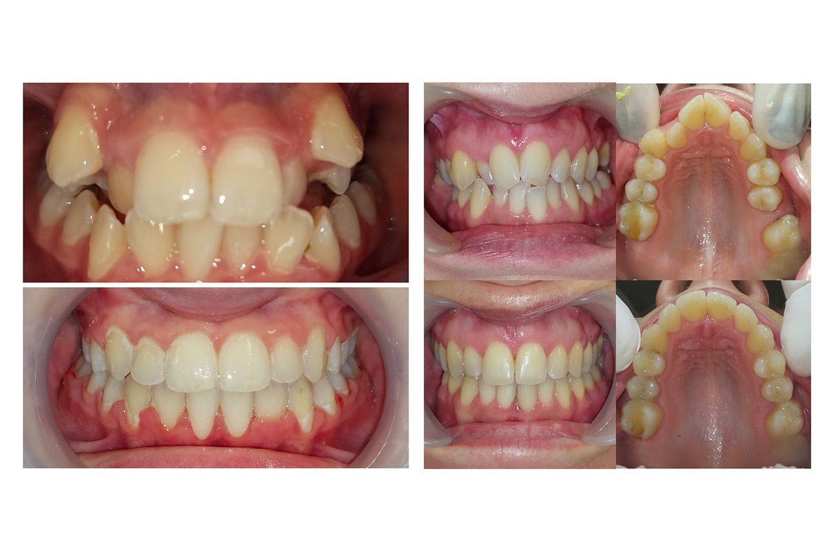
Fiksna ortodonska terapija - prikaz slučaja

Na slici: prikaz slučaja.

Upute za nošenje fiksnih ortodontskih aparata

  1. Osjećaj preosjetljivosti, pomičnosti i bolnosti zuba

Osjetljivost zuba je normalna pojava koja obično prolazi nekoliko dana nakon postavljanja naprave, koliko je pacijentu i potrebno da se navikne na novo „strano tijelo“ u ustima.

Pomičnost zuba tijekom ortodontske terapije je normalna pojava koja prolazi skidanjem naprave i stabilizacijom zagriza po završetku terapije.

Bol tijekom ortodontske terapije je normalna pojava. Obično se javlja nekoliko sati nakon aktivacije naprave i može trajati i po nekoliko dana (cca 3-4). Najjači osjećaj boli se javlja nakon postavljanja naprave, dok je sa svakom slijedećom aktivacijom obično sve slabijeg intenziteta. Jačina osjeta boli je individualnog karaktera te nitko ne može predvidjeti koliko će i hoće li uopće pacijenta išta boljeti. Ukoliko je bol toliko intenzivna da zahtjeva uzimanje lijekova, dozvoljeno je uzeti tabletu protiv bolova (ibuprofen, paracetamol).

  1. Prehrana

Prvih nekoliko dana nakon postave naprave preporučljivo je jesti mekšu hranu  zbog početne preosjetljivosti i navikavanja pacijenta. Osim navedenoga prehrambene navike nije potrebno mijenjati, samo ih prilagoditi novoj situaciji u ustima.

Odgrizanje tvrde hrane može odlijepiti i oštetiti bravicu, odcementirati prsten te deformirati i odignuti ortodontski luk, stoga svakako treba izbjegavati orašaste plodove (lješnjake, bademe, orahe, koštice) te hrskavu i tvrdu koricu kruha.

Jabuke , breskve, kruške , sendviče treba usitniti na komade veličine zalogaja i pažljivo ih sažvakati. Ljepljive slatkiše (karamele, gumene bombone,..) također treba izbjegavati.

Gume za žvakanje bez šećera preporučuju se ortodontskim pacijentima, jer se povećava prokrvljenost potpornog tkiva zuba, te se smanjuje njihova preosjetljivost i mogućnost pojave karijesa. Konzumiranje žvakaćih guma treba započeti tek kada se pacijent u potpunosti navikne na ortodontsku napravu te usavrši održavanje oralne higijene.

  1. Održavanje oralne higijene

Pravilno održavanje oralne higijene od presudne je važnosti za zdravlje zuba općenito, a sa fiksnim ortodontskim aparatom u ustima potreba za pravilnom i redovnom higijenom je višestruko povećana. Na taj način je moguće izbjeći komplikacije koje nastaju kao posljedica loše higijene (gingivitis - upala zubnog mesa, hiperplazija - bujanje zubnog mesa, demineralizacija cakline, karijes).

Meka četkica za zube i zubna pasta neka i dalje budu osnovno sredstvo održavanja higijene kojemu je poželjno pridružiti zubni konac (mora se uvesti ispod luka), interdentalnu četkicu (pomaže u odstranjivanju ostataka hrane ispod krilaca bravice) te tuš za zube (odstranjuje naslage sa nedostupnih mjesta).

Nasmiješite se samouvjereno: vrhunska dentalna njega za vaš najbolji osmijeh!

REZERVACIJA TERMINA
menu-circlecross-circle linkedin facebook pinterest youtube rss twitter instagram facebook-blank rss-blank linkedin-blank pinterest youtube twitter instagram